Ortodontia em Curitiba
Hoje vamos falar sobre Ortodontia em Curitiba, o que é Ortodontia , qual sua importância na vida das pessoas e como escolher um bom profissional na área.
A Ortodontia é uma especialidade da Odontologia voltada ao diagnóstico , prevenção e tratamento das alterações no posicionamento dos dentes e no crescimento desordenado das estruturas esqueléticas da face.
Muitas dessas alterações estão associadas a fatores hereditários embora uma parte delas seja adquirida através de hábitos bucais deletérios durante a fase de crescimento do indivíduo.
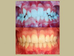
A Ortodontia em Curitiba não tem apenas o objetivo de devolver um equilíbrio funcional e estético à pacientes que apresentem comprometimentos importantes, mas tem também o poder transformador de construir belos sorrisos e faces mais harmônicas, contribuindo para uma melhora significativa na qualidade de vida de quem busca essa especialidade.
A importância em querer conquistar um belo sorriso jamais deveria ser subestimada, pois uma aparência agradável está diretamente vinculada à auto-confiança e autoestima de uma pessoa. Fatores que certamente irão influenciar seu sucesso social e profissional !
Todos querem um belo sorriso. E todos deveriam ter um ! Essa é a missão de um bom ortodontista em Curitiba.
E como escolher um bom profissional em Ortodontia em Curitiba ?
Primeiro escolhendo um profissional que seja especialista. Especialistas nessa área são dentistas que dedicaram grande parte de seu tempo se qualificando para exercerem exclusivamente essa função. Ser especialista em uma determinada área é ter, quase sempre, mais condição e experiência clínica para resolver problemas mais graves do que propriamente mestres e doutores na mesma área. O especialista dedicou mais tempo ao atendimento clínico, enquanto o mestre aprimorou sua didática para ensinar, e o doutor sua expertise em analisar e produzir pesquisa científica. Portanto, embora todos sejam voltados à mesma área, são profissionais com competências distintas.
Depois procure verificar o local de sua formação, pois uma escola conceituada é sempre uma importante referência nessa escolha, não deixando de observar também seu tempo de atuação na área pois tempo de experiência é algo que faz muita diferença entre profissionais, como também verificar se é membro de entidades de classe reconhecidas, como conselhos e associações regionais e nacionais que atestem sua condição de especialista e se não há nada que desabone sua conduta profissional.
Outro fator, e talvez um dos mais importantes, seria verificar junto à pessoas que trataram com o profissional em questão, o que acharam do atendimento recebido e do resultado obtido ao final. Referências vindas de pacientes, amigos ou outros profissionais da área, são possivelmente a maneira mais segura de saber se deve confiar ou não na pessoa que irá cuidar de você.
E por último , depois de verificados todos esses itens, sinta durante a consulta se sente uma empatia pelo profissional, e se o mesmo lhe passa confiança e lhe dá opções terapêuticas que atendam suas necessidades. Empatia e confiança no profissional de ortodontia em Curitiba é fundamental para o sucesso do tratamento!
Espero com isso ter-lhe ajudado a entender como a Ortodontia em Curitiba pode ser importante na melhora de sua qualidade de vida, e como fazer para encontrar um profissional em quem você possa confiar e depositar todas as suas expectativas para obtenção de uma face e de um sorriso ainda mais lindos!
Conheça nossos tratamentos e agende uma avaliação com um especialista em ortodontia em Curitiba.
A vida merece ser vivida intensamente com muita alegria e muito amor próprio ! Valorize-se ! Invista no que é mais importante : VOCÊ !
Um grande abraço,
Dr Fernando Tocci
Ortodontista
CRO 102598 PR
